Оновлено 12.12.2025
Перед тем как выяснить, сколько стоит вставить зуб, нужно решить, каким образом этот зуб вставлять. Итак разберем несколько вариантов как можно вставить зуб и посчитаем, сколько это стоит в каждом из вариантов, а также посмотрим, сколько лет будет потом работать тот или иной зуб.

Сравнение цен на разные варианты и срок службы в конце страницы. Ссылки на цены по тексту.
Варианты: как вставить зуб
- Наращивание зуба.
- Коронка.
- Протез съемный.
- Протез фиксирования.
- Имплантация зуба.
Наращивание зуба
Данный метод используется, когда незначительная часть зуба разрушена и недостающую часть можно сформировать с помощью фотополимера прямо во рту пациента или заказать накладку из керамики (винир).
Как проходят оба процесса, мы писали в разделе Художественная реставрация зубов. Актуальные цены на восстановление зубов композитными винирами (раздел Терапия) или керамическими (раздел Ортопедия) в Прайсе.
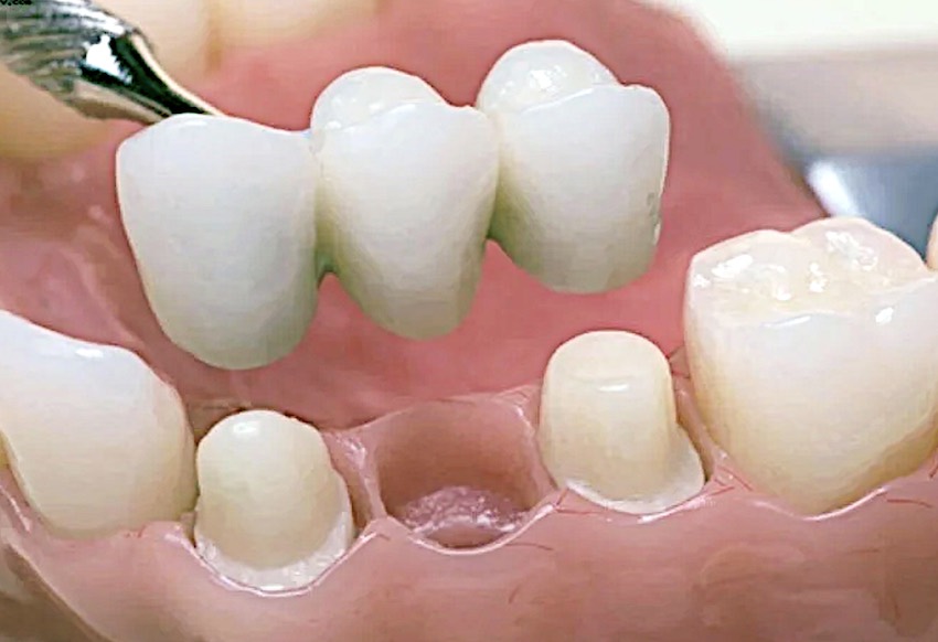
Коронка.
Если видимая часть зуба разрушена более чем на 50%, художественной реставрацией или винирами нельзя восстановить зуб, поэтому ставится коронка.
Подробнее о коронках можно просмотреть в разделе Протезирование. Цены на коронки в Прайсе в разделе Ортопедия.
Имплантация зуба
Имплант – это титановый штифт, который вживляется в кость. В штифт вкручивают абатмент (основа для коронки) и сверху устанавливают коронку.


Достоинства:
- Долговечность (служить десятилетиями).
- Сохранность соседних зубов (не нужно их обтачивать).
- Эстетичность и функциональность (максимально приближенные к естественным зубам).
Недостатки:
- Высокая цена.
- Длительный процесс лечения (от 3 до 6 месяцев).
- Наличие противопоказаний (например, при недостатке костной ткани требуется дополнительная костная пластика).
Противопоказания при установке имплантов
Общие:
- Тяжелые хронические заболевания (например, сахарный диабет в декомпенсированной форме).
- Нарушение свертывания крови.
- Онкологические заболевания в стадии активного лечения.
- Ослабленный иммунитет (например, при ВИЧ-инфекции в тяжелой стадии).
Локальные:
- Недостаток костной ткани (без костной пластики).
- Воспалительные процессы в полости рта (гингивит, пародонтит).
- Скрежет зубами (бруксизм) без предварительного лечения.
Подробнее о ценообразовании зубных имплантов читайте в статье «Цена импланта зуба: из чего состоит». Статья, где рассматривается сравнение цен на импланты в зависимости от количества и производителей здесь. Стоимость имплантации зубов всего рта all-on-6(4). Также можно посмотреть статью о Швейцарских имплантах. Цены на имплантацию в Прайсе в разделе Имплантация
Мостовидный протез
Это конструкция, которая крепится на соседние зубы, заменяя потери.
Достоинства:
- Быстрая установка (обычно 2-3 визита).
- Более доступная цена, чем у имплантов.
Недостатки:
- Нужна обточка соседних зубов.
- Погрузка на опорные зубы, что может привести к повреждению.
- Срок службы ниже, чем у имплантов (около 7-10 лет).
Противопоказания при установке мостовидных протезов
- Повреждение или отсутствие опорных зубов.
- Нездоровые опорные зубы (например, с кариесом или разрушением корней).
- Заболевания ясны, такие как пародонтоз.
- Высокое стирание зубов, через которое мост может быстро сломаться.
Цены на все протезы в Прайсе в разделе Ортопедия.


Съемные протезы
Достоинства:
- Низкая цена.
- Подходят при больших дефектах зубного ряда.
- Используются для замены одного или нескольких зубов.
Недостатки:
- Самый маленький комфорт по сравнению с несъемными конструкциями.
- Низкая эстетика (видные крепи).
- Постепенная атрофия кости под протезом.
Бюгельный протез
Бюгельный протез – разновидность частичного съемного протеза, который фиксируется на зубах с помощью специальных металлических конструкций. Название происходит от немецкого слова «Bügel», что означает «дуга» — основа такого протеза сделана из металлической дуги, которая распределяет жевательную нагрузку между десной и зубами.
Типы фиксации
- Кламеры: металлические крючки, обхватывающие опорные зубы.
- Атачмени: специальные замки, обеспечивающие более эстетическую фиксацию (без видимых крючков).
- Телескопические коронки: опорные зубья покрываются коронками, на которые устанавливается протез.
Преимущества
- Комфорт: легче и тоньше снимаемых акриловых протезов.
- Распределение погрузки: металлическая дуга равномерно распределяет нагрузку, снижая давление на десну.
- Надежность: долговечна благодаря крепкому каркасу.
- Эстетика: при использовании атачменов или коронок телескопических креплений незаметны.
Недостатки

- Необходимость здоровых опорных зубов.
- Возможность аллергии на металл у чувствительных пациентов.
- Более высокая стоимость по сравнению с акриловыми съемными протезами.
- Этот тип протеза подходит для пациентов с частой потерей зубов, когда есть возможность опереться на оставшиеся зубы.

Бабочка
Материал: обычно изготавливается из акрила или нейлона.
Особенности протеза «бабочка»
- Фиксация: протез удерживается за счет гибких крючков, мягко охватывающих соседние зубы.
- Размер: миниатюрный, закрывает только область утраченного зуба без лишних конструкций.
Преимущества
- Быстрая установка: можно изготовить за короткое время.
- Эстетичность: гибкие крючки почти незаметны.
- Экономичность: более доступна по цене по сравнению с другими протезами.
- Временное решение: часто используется как временная мера, пока пациент ожидает имплантацию или мостообразный протез.
Недостатки
- Хрупкость: протез менее крепок, чем другие конструкции.
- Погрузка: не равномерно распределяет жевательную нагрузку, что может быть проблемой при длительном использовании.
- Ограничение подходит только для замены одного или двух зубов.
- Протез «бабочка» – это удобное временное или бюджетное решение для восстановления эстетики и функциональности зубного ряда.
Противопоказания при установке съемных протезов
- Аллергия на протезы (например, акриловые или металлические компоненты).
- Выражена атрофия альвеолярного гребня (плохо держатся протезы без дополнительной фиксации).
- Повышенная рвота (усложняет использование).
- Психологический дискомфорт из-за съемной конструкции.
Адгезивный мост
Преимущества
- Легкая конструкция, крепящаяся к соседним зубам с помощью специального клея.
- Минимально инвазивный метод (не нужно обтачивать зубы).
Быстрая установка.
Недостатки:
- Недолговечность (около 5 лет).
- Ограниченная нагрузка (не подходит для жевательных зубов).
- Большие дефекты зубного ряда (не подходит замене нескольких зубов).
- Слабая эмаль на соседних зубах (клей не держится).
- Повышенная нагрузка на мост (например, в области жевательных зубов).
- Заболевание десны или наличие кариеса на соседних зубах.


Протезирование на мини-имплантах
Преимущества
- Устанавливаются небольшие импланты для фиксации снимаемых протезов.
- Стабильная фиксация съемного протеза.
Подходит пациентам с недостаточной костной тканью.
Мини-импланты по форме напоминают небольшие шурупы или стержни из титана диаметром 1.8-3.3 мм, а длина варьируется от 10 до 15 мм. Они меньше стандартных имплантов, что делает их менее травматичными при установке. Мини-импланты часто имеют сферическую головку или специальный крепеж, к которому фиксируется съемный протез.
Уменьшенный размер делает их пригодными для случаев с недостаточной костной тканью. Установка обычно не требует разрезов десен, что сокращает время операции и реабилитации.
По сути мини-импланты сравнимы с небольшими металлическими анкерами, которые надежно фиксируют съемные конструкции, улучшая их стабильность и комфорт.
Не путайте мини-импланты с микроимплантами в ортодонтии. Микроимпланты, используемые в ортодонтии, отличаются от тех, которые применяют в стоматологическом протезировании, хотя внешне они похожи.
Микроимпланты в ортодонтии пользуются для временной фиксации и создания опоры при выравнивании зубов или перемещении их в нужное положение. Размер обычно меньше имплантов для протезирования диаметром 1.2–2.0 мм. Они рассчитаны на временное использование (6–18 месяцев). После окончания лечения их удаляют.
Противопоказания при протезировании на мини-имплантах
- Тяжелая атрофия костной ткани (даже для мини-имплантов нужна минимальная кость).
- Воспалительные заболевания слизистой рта.
- Предрасположенность к парафункциям, например, бруксизму.
- Аллергия на титан (редкое явление).
- Общие противопоказания к имплантации (см. выше).

і як їх уникнути
Отримати PDF на e-mail
Залиште свої контакти, і ми надішлемо вам гайд, який допоможе уникнути помилок та зайвих витрат при виборі стоматолога.
Список способов восстановления зубов по уменьшению стоимости
- Имплантация зуба – самый дорогой метод из-за использования высокотехнологичных материалов (титана, циркония), необходимости хирургического вмешательства и возможных дополнительных процедур (например, костной пластики).
- Протезирование на мини-имплантах – дешевле, чем классическая имплантация, но стоимость все равно выше средней из-за использования имплантов и индивидуального изготовления съемного протеза.
- Мостовидный протез. Стоимость зависит от материала (металлокерамика, цирконий, пластик), но в целом дешевле, чем имплантация, поскольку не требует хирургического вмешательства.
- Адгезивный мост – более доступный метод, поскольку не требует сложного протезирования или обточки большого количества зубов.
- Съемные протезы. Наиболее бюджетный вариант из протезов, особенно если используются стандартные акриловые или нейлоновые конструкции
- Коронки
- Художественная реставрация
Сроки службы
Сроки службы различных видов зубных протезов и методов восстановления расположены в таблице в порядке убывания:
| Название | Срок службы | Особенности |
| Имплантация зуба | 25–30 лет и более (при правильном уходе) | Долговечность достигается за счет прочного материала (титан) и биосовместимости с костью. |
| Коронки, установленные на импланты | служат 10-15 лет, после чего могут потребовать замены | |
| Бюгельный протез | 10-15 лет | Прочность конструкции и равномерное распределение погрузки продлевают срок службы, особенно при использовании высококачественных материалов и регулярной коррекции |
| Коронка | 10-15 лет | Зубы под коронками к сожалению постепенно разрушаются, поэтому со временем коронку нужно переделывать |
| Мостовидный протез | 7-10 лет | зависит от состояния опорных зубов и материала. Металлокерамика служит около 7-10 лет, циркониевые мосты могут прослужить до 15 лет. |
| Протезирование на мини-имплантах | 7-10 лет | Подходит для временной фиксации съемных протезов, но протез или крепеж могут потребовать замены раньше. |
| Адгезивный мост | 3-5 лет | Менее долговечен из-за фиксации на клее. Подходит только для временного использования. |
| Протез «бабочка» | 2-3 года | Служит в основном как временное решение, пока пациент ожидает более долговечного варианта восстановления. |
| Съемные протезы | 3-5 лет (акриловые) и 5-7 лет (нейлоновые) | Протезы изнашиваются, могут изменять форму из-за атрофии десен, что требует замены или подгонки. |
Срок службы любого протеза, реставрации или коронки зависит от ухода, регулярных осмотров у стоматолога и своевременной коррекции. Если у вас остались какие-либо вопросы относительно того, сколько стоит вставить зуб или самого процесса установки, запишитесь на консультацию к стоматологу в форме ниже.
Оставьте заявку прямо сейчас, зафиксируйте цены, если они поднимуться, а вы, например, сможете быть на приеме только через месяц, то для вас будут действовать цены до повышения.
Записаться на консультацию или прием
Выгодное географическое положение создает безопасные условия для вашего пребывания, клинику со всех сторон окружают холмы
У нас есть генератор, поэтому все процедуры мы проводим в запланированное время.
Заполните форму и нажмите кнопку “Отправить”, администратор или врач наберут вас как можно скорее.
Мы обрабатываем ваши персональные данные в соответствии с GDPR. Подробнее в Политике конфиденциальности

МИ НА GOOGLE МАПІ
DentalKnysh
Стоматологическая клиника
Лицензия Министерства охраны здоровья Украины: Серия АД №064304 от 09.08.2012

© Стоматологічна клініка DentalKnysh

