Дитячий ортодонт в стоматологічній клініці DentalKnysh на Стуса, 24, Львів

Валерія Бонар (Шелухіна),
дитячий ортодонт стоматологічної клініки DentalKnysh у Львові на Стуса, 24,
член асоціації ортодонтів України
Освіта: ЛНМУ ім. Д.Галицького
Спеціалізація: ортодонт
Мови: українська, англійська
Рейтинг: ♥️♥️♥️♥️♥️ 9,7 з 10
Прийом по запису.
Графік роботи: пн-пт 9:00-19:00, сб 10:00-15:00
Не кожний стоматолог зможе працювати з дітьми.
Дитячий лікар стоматолог – це покликання.
Діти – це, мабуть, найвибагливіша аудиторія. Батьки хочуть, щоб зуби були здорові, і посмішка у дитини була ідеальна. Але при цьому щоб похід до стоматолога не перетворювався на каторгу для всіх учасників процесу.
Наш дитячий ортодонт Валерія Бонар (Шелухіна) не завдасть вашій дитині і вам клопоту, тому що діти її люблять і готові ходити до неї регулярно.
Дорослі доречі також із задоволенням відвідують нашого ортодонта Валерію для вирівнювання зубів
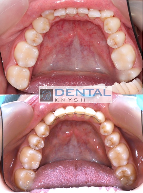
Фото звіт процесу лікування брекетами
Фотозвіт процесу лікування: Вирівнювання зубів у дитини за допомогою брекет системи в DentalKnysh, 2024-08-11





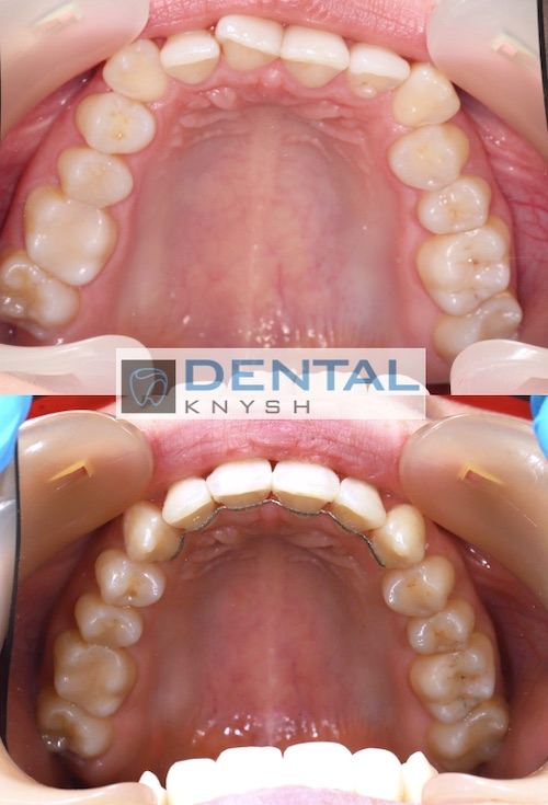
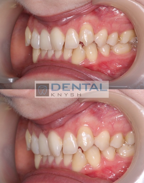
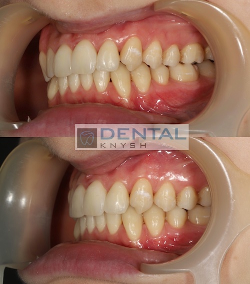
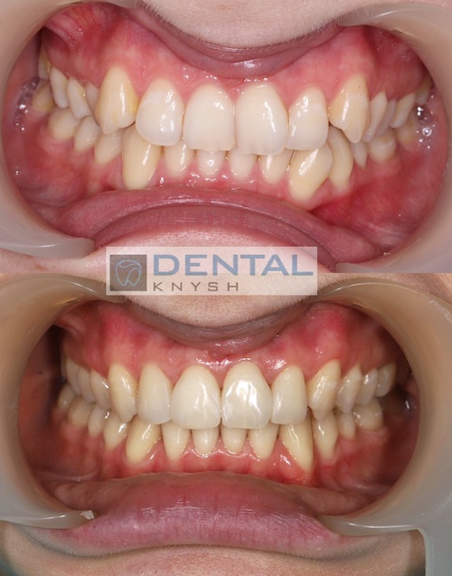
Результати лікування брекетами фото звіти
Результати вирівнювання зубів за допомогою брекетів 2025-04-15






Більше результатів лікування брекетами можна подивитися на сторінці Брекети
Подбайте про свою дитину, проконсультуйтесь з ортодонтом сьогодні, не відкладайте важливе на потім
Залиште заявку прямо зараз, зафіксуйте ціни, якщо вони піднімуться, а ви, наприклад, зможете бути на прийомі лише через місяць, то для вас діятимуть ціни до підвищення.
Отримати консультацію або записатися на прийом
Вигідне географічне положення створює безпечні умови для перебування; клініку з усіх боків оточують пагорби
У нас є генератор, тому всі процедури ми проводимо у запланований час.
Заповніть будь ласка форму, та натисніть кнопку “Надіслати”, адміністратор або лікар наберуть вас як найшвидше.

МИ НА GOOGLE МАПІ
DentalKnysh
Стоматологія у Львові
Ліцензія МОЗ України: Серія АД №064304 від 09.08.2012

Послуги
Контакти
Viber / WhatsApp / Telegram
Адреса:
м. Львів, вул. Стуса, 24
Всі права захищено. Копіювання матеріалів сайту лише з письмового дозволу адміністрації
© Стоматологічна клініка DentalKnysh.
