Результати імплантації зубів до/після (фото, відео) в стоматологічній клініці DentalKnysh, Львів на Стуса,24
Усі фото на сайті опубліковано з дозволу пацієнтів
Фото звіт: all-on-4 – імплантація щелепи, 2026-04-17




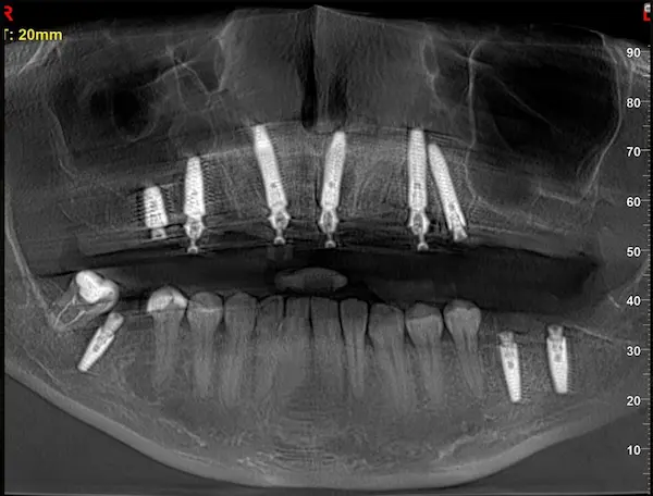
Скани КТ імплантації зубів, 2026-04-18



Імплантація зубів верхньої щелепи, 2026-04-14, фото до/після

Імплантація зубів верхньої щелепи, 2026-04-15, фото до/після

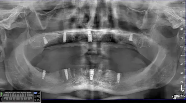
Скан КТ, 2026-04-18

Фото-звіт: імплантація верхньої щелепи, 2026-04-12

Фото-звіт: імплантація та керамічні вініри, 2026-04-12

Фото-звіт: імплантація верхньої щелепи, 2026-04-13

Скани КТ імплантації зубів, 2026-04-18



Імплантація зубів верхньої щелепи, фото до/після, 2026-04-17

Імплантація зубів верхньої щелепи, 2026-04-17

Скан КТ імплантації зубів, 2026-04-17

Скани КТ імплантації зубів, 2026-04-18


Фото звіт: all-on-4 – імплантація обох щелеп, 2026-03-10

Фото звіт: all-on-4 – імплантація обох щелеп – 24 коронки, фото публікуються з дозволу пацієнта, 2026-02-21



Фото звіт: повна імплантація верхньої щелепи, 2026-04-06


Фото звіт: імплантація верхньої щелепи – 14 коронок на 6 імплантах, фото і КТ публікуються з дозволу пацієнта, 2026-01-12


Фото звіт: повна імплантація верхньої щелепи, 2025-12-05

Фото звіт: імплантація зубів, коронки, 28 зубів, фото публікується з дозволу пацієнта, 2025-12-14




Фото звіт: імплантація одного зуба і керамічні вініри, фото публікується з дозволу пацієнта, 2025-08-05



Фото звіт: повна імплантація зубів, кожна щелепа все на 4 імплантах (all-on-4), фото публікується з дозволу пацієнта, 2025-07-20




Фото звіт: 26 цирконієвих коронок на зубах та імплантах, 2025-06-30 (фото публікується з дозволу пацієнта).


Фото звіт: повна імплантація зубів, 2025-05-07 (фото публікується з дозволу пацієнта).




Фото звіт: повна імплантація зубів, 2025-05-05 (фото публікується з дозволу пацієнта).



Фото звіт: імплантація зубів обох щелеп на 12 імплантах, 2025-04-19 (фото публікується з дозволу пацієнта).





Фото звіт: імплантація зубів верхньої щелепи на 6 імплантах (all-on-6) та імплантація окремих зубів ніжньої щелепи, 2025-01-26 (фото публікується з дозволу пацієнта).



Фото звіт: імплантація зубів обох щелеп на 10 імплантах, 2024-12-25 (фото публікується з дозволу пацієнта)



KT: імплантація зубів в DentalKnysh, 2025-01-03, скани




Фото звіт: імплантація обох щелеп на 10 імплантах, 2024-10-07 (публікується з дозволу пацієнтки)




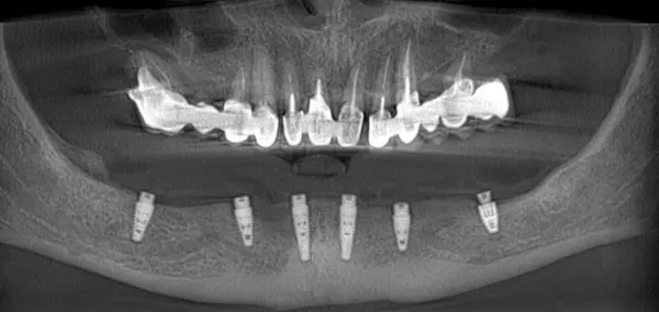
Імплантація беззубої щелепи

Фото звіт: імпланти, скан КТ, червень 2024


Фото звіт: імплантація зубів, 24 коронки на імплантах та зубах, 2024-05-18



KT: імплантація зубів в DentalKnysh, 2025-01-03, скани



Фото звіт з імплантації верхньої щелепи: було встановлено 14 цирконієвих коронок на 6 імплантах 2024-04-24



KT: імплантація зубів в DentalKnysh, 2025-01-03, скани



Фото звіт з імплантації обох щелеп було встановлено 28 цирконієвих коронок на 12 імплантах 2024-01-31



Фото звіт з імплантації верхньої щелепи від 2024-01-04: було встановлено 14 цирконієвих коронок на 6 имплантах




Імплантація зубів (10 шт), 2023-11-03

Імплантація зубів 13 шт та 2 синус-ліфтінга 2023-10-06

З 2023-09-05 по 2023-09-09 скани КТ від 6 до 12 імплантів в DentalKnysh (4 фото)




Синус-ліфтінг та імплантація зубів, 6 імплантів, all-on-6, KT скан 1, 2023-08-31

Фото звіт імплантація зубів, 2 х 4 імплантів, all-on-4, KT, скан 2, 2023-08-31

Фото звіт імплантація зубів, імплантів – 6 шт, KT, скан 3, 2023-08-31

Фото звіт: 6 імплантів, цирконієвий протез 12 од, 2023-08-22





Фото звіт 2 синус-ліфтінги і 8 імплантів 2023-05-18

Фото звіт 11 імплантантів 2023-04-30

Проведення операції синус-ліфтинг та

імплантації зубів за один візит 2023-04-18

Фото звіт від 2023-04-04: коронки на 6 імплантах на нижній щелепі та верхній щелепі:




Фото звіт від 2023-03-22: коронки на 6 імплантах на нижній щелепі та коронки на 4 имплантах на верхній щелепі:





Фото звіт від 2022-11-15: коронки на 6 імплантах на нижній щелепі та коронки на верхній щелепі:




Залиште заявку прямо зараз, зафіксуйте ціни, якщо вони піднімуться, а ви, наприклад, зможете бути на прийомі лише через місяць, то для вас діятимуть ціни до підвищення.
Отримати консультацію або записатися на прийом
Заповніть будь ласка форму, та натисніть кнопку “Надіслати”, адміністратор або лікар наберуть вас як найшвидше.
Є генератор: всі процедури за планом
Безпечні умови для перебування завдяки географічному розташуванню клініки

МИ НА GOOGLE МАПІ
DentalKnysh
Стоматологія у Львові
Ліцензія МОЗ України: Серія АД №064304 від 09.08.2012

Послуги
Інфо
Графік роботи:
Пн-пт: 09:00-20:00
Субота: 10:00-15:00
Контакти
Viber / WhatsApp / Telegram
Адреса:
м. Львів, вул. Стуса, 24
Всі права захищено. Копіювання матеріалів сайту лише з письмового дозволу адміністрації
© Стоматологічна клініка DentalKnysh.





